Відбілювання зубів в Миколаєві, ціна на яке сьогодні дозволяє пройти цю процедуру всім бажаючим, проводиться в приватній стоматології Денталюкс. Відразу звернемо увагу на те, що вибілювати можна тільки власні зуби.
Відбілюючі технології не діють на структуру реставраційних матеріалів, з яких виготовляються пломби, вініри, коронки. Саме тому відбілювання має передувати стоматологічним реставраціям або ортопедичним роботам.

| Відбілювання зубів: | |
| Відбілювання зубів (лінія посмішки 10 зубів, 1 процедура) | от 2500 грн. |
Зміна природного кольору зубів, або дисколорит, відбувається в результаті впливу на них різних барвників. Вони присутні в напоях і харчових продуктах, косметичних засобах, лікарських препаратах, тютюні. Барвники не тільки осідають на поверхні зубів, але і проникають в тверді тканини зуба. Причиною зміни кольору часто буває травма зуба або лікування його каналів, а також порушення формування і дозрівання зубів. Якими б не були причини зміни кольору зубів, відбілювання має проводитися тільки професіоналами.
У стоматології в Миколаєві Денталюкс на відбілювання зубів ціна пропонується цілком прийнятна. Сам же процес відбілювання зубів проводиться за допомогою високоякісних професійних відбілюючих препаратів.
Відбілювання зубів не рекомендується жінкам, які годують і вагітним жінкам. Існує, мабуть, лише одне абсолютне протипоказання для проведення професійного відбілювання - наявність алергічних реакцій на компоненти відбілюючих систем і, зокрема, на перекис водню.
Перед процедурою відбілювання обов'язково потрібно провести гігієнічну чистку зубів.
Крім того, доктора стоматології Денталюкс рекомендують всім пацієнтам перед початком відбілювання і під час його проведення дотримуватися дієти, обмежуючи насамперед кислу і гостру їжу, дратівливу емаль.
При підвищеній чутливості зубів, наявності карієсу, пародонтиту необхідно до початку відбілювання провести терапію даних станів до повного зникнення всіх симптомів.
Домашнє відбілювання зубів
Домашнє відбілювання пов'язано з самостійним носінням спеціальних кап. Їх заповнюють професійним відбілюючим складом. Зазвичай ця процедура відбілювання займає 2-3 тижні. Відбілювання може бути нічний і денний. Перші результати з'являються на 4-5-й день і поступово посилюються. Ефект від цього методу відбілювання зберігається тривалий час. Залежно від стабільності кольору можна проводити короткий підтримує курс відбілювання - 3-4 сеансу через 6 місяців.
Кабінетне відбілювання зубів в Миколаєві
Кабінетне відбілювання зубів, включаючи і апаратне, проводиться в стоматологічному кріслі. Це найбільш популярний метод на сьогодні. Процес контролюється лікарем. Як правило, процедура займає 1,5-2 години. Основні принципи цього методу - використання гелю високої концентрації і каталізатора, що прискорює процес відбілювання. Як прискорювачів хімічних реакцій використовується лазерне випромінювання, ультрафіолетове випромінювання спеціальної лампи, тепло. Крім того, застосовуються особливі хімічні сполуки.
Внутрішнє відбілювання окремого зуба
Іноді потрібно відбілити зуб зсередини. Наприклад, наслідком механічної травми є рожевий колір зуба, що з'являється практично відразу. Згодом колір зуба стає червоно-коричневого відтінку. Часто виникає потемніння зуба після видалення нерва і пломбування кореневого каналу.
У подібних випадках і застосовується метод внутрішнього відбілювання. Внутрішня порожнина зуба заповнюється спеціальним відбілюючим гелем і закривається тимчасовою пломбою. Через 1-5 днів лікар повторює аплікацію гелю. Такий курс відбілювання може зажадати від 3 до 5 сеансів. По його завершенні порожнину зуба закривається постійною пломбою.
Крім цього, в нашій клініці проводитися професійна чистка зубів.
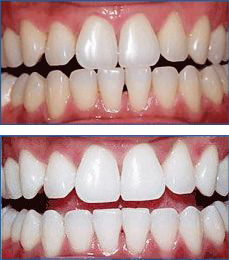
До і після лікування, протезування
Вартість відбілювання зубів в стоматології "Денталюкс" коштуватиме від 2500 грн. (Лінія посмішки 10 зубів, 1 процедура).
Процедура відбілювання зубів є безболісною. Проте у деяких пацієнтів відбілювання може супроводжуватися неприємними відчуттями як під час процедури, так і деякий час після. Пов'язано це з природного підвищеною чутливістю емалі, а також ясен.
Ефект відбілювання зубів може тривати від 6 місяців до 2-3 років. Це варіюється від людини до людини. Тривалість результатів може залежати від вашого початкового відтінку, стану зубів, попереднього досвіду відбілювання, дієти і куріння.