Отсутствие зубов доставляет дискомфорт при пережевывании пищи и общении. Проблему решает имплантация зубов в Николаеве, которая заменяет родной зуб. Стоматология «Дента Люкс» предлагает доступную услугу по вживлению и протезированию с использованием долговечных конструкций и материалов.
Имплантация зубов представляет собой установку искусственных зубных конструкций (имплантов) с внедрением в костную челюстную ткань для восстановления зубного ряда и защиты корней путем протезирования. Стоматология «Дента Люкс» — это надежные, высококачественные зубные импланты, Николаев (Украина).
Востановите увереность в себе и своей улыбке!
- Установка зубных имплантатов повышает качество вашей жизни
- Только установка имплантатов позволяет предотвратить потерю костной ткани
- Процедура установки имплантатов менее травматичная чем удаление зуба
- Установка имплантата помогает сохранить здоровые зубы

- Имплантаты позволяют воссоздать естественный вид зубов независимо от того, отсутствует у вас один зуб или несколько.
- Установка имплантатов помогает сохранить здоровые зубы.
- Имплантаты помогают предотвратить потерю кости.
- Потеря одного или нескольких зубов вызывает необратимую атрофию костной ткани. Резорбция (убыль) кости приводит к изменению контуров лица, что негативно отражается на внешнем облике. Только зубные имплантаты могут остановить эти процессы и полностью сохранить жевательную функцию. Процесс установки имплантата чаще всего проводится под местной анестезией и является безболезненной процедурой.
- Установка зубных имплантов поможет повысит качество Вашей жизни.
- Имплантаты позволят Вам иметь более здоровый рацион питания (возможность принимать наиболее полезные продукты – сырые овощи и фрукты).
Сколько стоят зубные импланты в Николаеве?
Цены на зубные импланты в Николаеве от “ДентаЛюкс”
| Хирургия и имплантация зубов: | |
| Удаление зубов | 400-800 грн. |
| Удаление ретенированных и дистопированных зубов | от 1000 до 1500 грн. |
| Имплант (постановка имплантата без протезирования 1 ед.) | 400 $ |
| Протезирование на имплантах (метеллокерамика, безметалловая керамика) | от 200 до 300 $ |
Какие показания к имплантации зубов?
Показания к имплантации зубов в Николаеве:
-
Зубные импланты могут быть установлены большинству людей с удовлетворительным общим состоянием здоровья.
-
Импланты не рекомендуется устанавливать подросткам до полного завершения роста скелета.
-
Как показывает Всемирная Организация Здравоохранения, то порядка 98,5% имплантов приживаются в абсолютно любом возрасте.
-
Имплантация показана всем людям в возрасте от 18-20 лет, потому что до этого возраста еще происходит формирование челюстных костей.
-
Имплантация зубов обычно происходи под местной анестезией в кабинете стоматолога.
-
На данном этапе нет ничего долговечнее стоматологических имплантатов и коронок на них. Коронки на импланты служат от 10 лет до пожизненного ношения.
-
Имплантаты по своей сущности являются полным аналогом структуры натуральных зубов. Сам по себе установленный имплант не вызывает дискомфортных ощущений, импланты не вызывают боль, воспалений и раздражений.
Особенности и преимущества лечения при помощи зубных имплантатов в Николаеве
Выглядит как настоящий зуб
Имплантат может служить Вам всю жизнь, при должном уходе
При лечении с помощью дентальных зубных имплантатов в Николаеве нет необходимости препарировать соседние зубы
Средний период лечения 3-6 месяцев
Как происходит установка зубных имплантов в Николаеве в клинике Дента Люкс?
Перед установкой зубных имплантов в Николаеве наш стоматологический центр проводит комплексное обследование пациента, чтобы убедиться в отсутствии противопоказаний.
Сама дентальная операция осуществляется по классической, двухэтапной схеме:
- На первом этапе через разрез в слизистой десны в костной ткани делается отверстие, в которое устанавливается имплант, после чего десна ушивается. В течение 2–4 месяцев происходит срастание импланта с костной тканью и восстановление десны.
- Второй этап — протезирование. В имплантат вкручивается формирователь десны на 1–2 недели для формирования определенной ее формы. Снимаются оттиски, и изготавливается зубной протез (искусственный зуб). Затем, временный элемент удаляется, а на его место вкручивается абатмент.
Установка и фиксация протеза на имплант обеспечивается специальным винтом (винтовая фиксация на абатменте).
Прибор для определения стабильности импланта позволяет определить сроки протезирования и надежность остеоинтеграции.
Магнитные импульсы передаются с наконечника прибора на насадку SmartPeg. Это вызывает вибрацию, которая фиксируется аппаратом и измеряется. Чем больше стабильность импланта, там больше показания прибора.
Полностью лечение с периодом реабилитации занимает 4–6 месяцев.
Протезирование зубов на имплантах в Николанвке обеспечивает установку разных зубных протезов. Цена зависит от применяемых материалов (металлокерамика или безметалловая керамика). Кроме того, на стоимость всего лечения влияет расположение зуба (нижняя или верхняя челюсть) и его тип.
Этапы лечения при помощи имплантатов
Как проходит реабилитация после протезирования на имплантах?
После протезирования на имплантах в Николаеве важно соблюдать определенные правила.
- В течение 2–3 недель не следует употреблять алкоголь и курить, острые и горячие блюда.
- Рекомендована полужидкая и мелко измельченная пища.
- Желательно отказаться от полетов на самолете и подъемов в горы, посещения бань и бассейнов, усиленных физических нагрузок. Следует максимально оградить себя от прилива крови в голову.
- Для защиты от бактерий надо полоскать полость рта антисептиками и строго соблюдать гигиену.
Имплантация на нижней и верхней челюсти существенно различаются:
- На нижней челюсти значительно выше плотность костной ткани, а на верхней — дает о себе знать близость гайморовой пазухи. Эти факторы определяют и особенности процедур. Вживление импланта на верхней челюсти требует более длительного срока (на 50–60 % дольше, чем на нижней челюсти).
- На верхней челюсти порой приходится использовать специальную методику наращивания костной ткани для укрепления стенки, граничащей с гайморовой пазухой.
Фото и видео протезирования на имплантах, с помощью винтовой фиксации, в стоматологии «Дента Люкс» в Николаеве
Видео момент снятия формирователя десны.
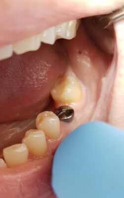
Определение стабильности зубного имплантата во время процедуры имплантации прибором MEGA ISQ

Прибор MEGA ISQ определяет реальную стабильность имплантата. Принцип ISQ (Implant Stability Quotient) позволяет оценить реальную стабилизацию имплантата в кости и проследить динамику изменения стабильности имплантата со временем.
Чем стабильнее имплантат, тем меньше колебания, тем выше показания прибора. Магнитные штифты откалиброваны таким образом, что показания прибора не зависят от вида зубного имплантата.
- Низкая стабильность → 60 (имплантат в зоне риска)
- Средняя стабильность → 65 (1 или 2-этапная операция, ранняя нагрузка)
- Высокая стабильность → 70 (1-этапная операция, немедленная нагрузка)
Определение стабильности импланта было проведено непосредственно во время процедуры имплантации
Как изготавливаются зубные импланты в Николаеве?
Наша клиника использует зубные импланты в Николаеве из специального титанового сплава — медицинского титана. Такой искусственный корень надежно врастает в костную ткань, становясь с ней единым целым. Материал не вызывает негативных реакций организма. Применяются корневидные импланты цилиндрической и конической формы со специальной резьбой для фиксации восстановителя десен и абатмента, с помощью которого обеспечивается последующее протезирование.
Такие импланты могут служить всю жизнь, гарантия — 15 лет.
Имплантация зубов в клинике “Денталюкс” (пациент мужчина, 66 лет). Период лечения - 6 месяцев.
Какие противопоказания к имплантации зубов существуют?
К проведению операции по имплантации зубов в Николаеве существуют противопоказания:
- плохая свертываемость крови;
- нарушенный иммунитет, иммунодефицит;
- онкологические заболевания;
- серьезные нарушения нервной системы;
- сахарный диабет первого типа;
- гипертрофированный тонус жевательных мышц;
- туберкулез в период обострения и в тяжелой форме;
- непереносимость анестезии.
Не следует проводить имплантацию во время беременности, воспалительных процессах на деснах, при кариесе, артрозе височно-нижнечелюстного сустава. Заметно осложняет операцию неправильный прикус и дефекты челюстей.
Как записаться на имплантацию зубов в стоматологию "Дента Люкс" в Николаеве?
Для записи на прием к врачу-стоматологу необходимо позвонить по телефонам указанным ниже. В телефонном режиме Вы сможете сразу уточнить время приема.
Записывайтесь на имплантацию зубов в Николаеве в клинику «Дента Люкс», чтобы качественно решить проблему отсутствия зубов с использованием новейшего медицинского оборудования.
Постановка имплантата без протезирования (1 ед.) - 400 $.
Протезирование на имплантах - от 200 до 300 $.
Преимущества имплантации зубов:
- установка имплантов, позволяет устранить дефекты зубного ряда
- имплантация позволяет восстановить зубной ряд
- импланты надежно фиксируют частично и полностью съемные протезы
- установление имплантов, приостанавливает атрофию костной ткани в области удаленного зуба
В нашей клинике используются имплантаты линейки MegaGen (МегаДжен, Мегаген), имеющие международные сертификаты качества. Мы предлагаем модели линейки AnyOne и AnyRidge. Импланты MegaGen известны по всему миру — компания стала первым брендом в области имплантации, продукция которой была одобрена Управлением США по контролю качества лекарственных препаратов.
На сегодняшний день существует много различных систем и методик установки имплантов. Поэтому пациенту бывает сложно разобраться во множестве видов имплантов и методик их установки. В стоматологии "Денталюкс" имплантология - это та сфера, в которой мы стали экспертами и довели процедуры практически до автоматизма.