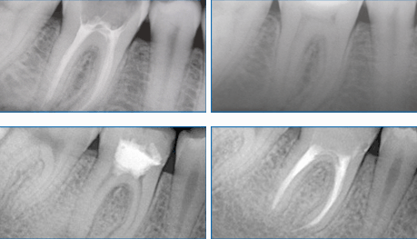
Если кариозный процесс зашел так далеко, что затронул уже сосудисто-нервый пучок зуба (так называемый «нерв»), необходимо эндодонтическое лечение: удаление пресловутого «нерва» и последующее пломбирование корневых каналов. И здесь решающим фактором, определяющим успех лечения, является качественное пломбирование корневых каналов.
Сейчас при определении длины каналов врач оперирует величинами порядка 0,5 мм в ту или иную сторону. Только такая высокая точность манипуляций может дать врачу и пациенту уверенность в том, что депульпированный (лишенный «нерва») зуб долгие годы будет служить верой и правдой, не доставляя пациенту (а значит и врачу) страданий и хлопот. А с учётом того, что современные технологии позволяют многократно (практически неограниченное количество раз) заменять отслужившие своё старые и изношенные протезы и пломбы, становится понятна важность хорошего, прочного «фундамента», коим и является грамотно запломбированный корневой канал.
В стоматологической клинике Николаева опытные специалисты качественно проведут все необходимые процедуры.

До и после лечения, протезирования