Профессиональная чистка зубов в Николаеве подразумевает снятие зубного камня в условиях стоматологической клиники. Зубной камень – это отвердевший от времени зубной налет, который образуется из остатков пищи, слизи, продуктов жизнедеятельности бактерий, микробов. На его образование в среднем уходит около 6 месяцев.
Причины появления зубного камня в ротовой полости:
- Нерегулярная или неправильная чистка зубов.
- Преобладание мягкой пищи в ежедневном рационе.
- Пережевывание пищи непосредственно одной из сторон челюсти.
- Чистка зубов некачественными зубными щетками и сомнительного качества зубными пастами.
- Возможное нарушение солевого обмена веществ в организме.
- Неправильное положение зубов и шероховатая поверхность, образованная в результате пломбирования зуба.
- Зубной камень по месту образования разделяют на наддесневой и поддесневой (по отношению к краю десны).
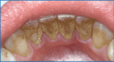
Наддесневой зубной камень виден при осмотре ротовой полости. Это белая или желтоватая глинообразная или твердая консистенция. Чистка зубов в Николаеве в данном случае производится врачом с применением специального инструмента.
Поддесневой зубной камень имеет зеленовато-черный или темно-коричневый цвет, твердую и плотную консистенцию. Он плотно прилегает к корню зуба. Чтобы обнаружить такие отложения, врач-стоматолог применяет специальный инструмент (зонд).
К основным симптомам присутствия зубного камня относится кровоточивость десен и появление неприятного запаха изо рта.
Своевременная чистка зубов в Николаеве, цена на которую отличается полной доступностью, позволяет предупредить такие последствия, как расшатывание зубов и их выпадение.
Чистка зубов в Николаеве — цена в клинике “Dentalux”
Стоимость на базовые услуги по чистке зубов - показана в таблице.
| Профессиональная гигиена полости рта: | |
| Профессиональная чистка зубов | 800-1000 грн. |
| Профессиональная гигиена для детей | 400 грн. |
| Профессиональная чистка зубов + плазмолифтинг десен | 1000- 1200 грн. |
Профессиональная гигиена полости рта
Профессиональная гигиена полости рта – это важнейшая составная профилактики образования зубного камня. Прежде всего, это регулярная и правильная чистка зубов. Врачи-стоматологи рекомендуют пользоваться только профилактическими зубными пастами и качественными зубными щетками. Межзубные промежутки нужно обрабатывать зубными флоссами (зубной нитью). Целесообразно использование ополаскивателей для полости рта. А вот зубочистки применять не рекомендуется.

Длительность интервала между посещениями зависит от:
- гигиенического состояния полости рта;
- интенсивности кариеса зубов;
- присутствия гингивита;
- выраженности пародонтита;
- степени прорезывания зубов у детей.
Проведение профессиональной гигиены является необходимым условием и при плановом осмотре полости рта пациента, поскольку качество диагностики кариеса зубов значительно возрастает, если поверхность зуба очищена и высушена.

Кроме того, наличие здоровой, тщательно санированной полости рта является неотъемлемым условием качественного осуществления сложных методов лечения:
- эстетического пломбирования;
- микропротезирования;
- отбеливания зубов;
- хирургического, пародонтологического лечения;
- имплантации;
- ортопедического лечения;
- ортодонтического лечения.

Белизна зубов – это то, что является важным атрибутом каждого делового человека и того, кто просто следит за собой. Ухоженный вид никогда не выйдет из моды, а белоснежная улыбка свидетельствует о многом, причем, положительном. Стоит отметить, что, если вас интересует профессиональная чистка зубов в Николаеве, цена окажется доступной, а методы чистки – безопасными. Зато в будущем это повлияет на вашу жизнь только лишь положительно. И потому профессиональная чистка зубов Николаев доступна в любой стоматологической клинике.

Чистка зубов в Николаеве — клиника Dentalux
До и после лечения, протезирования
Стоимость на услуги по чистке зубов в стоматологии "Денталюкс":
- Чистка зубов - 800-1000 грн.
- Профессиональная гигиена для детей - 400 грн.
- Чистка зубов + плазмолифтинг десен - 1000- 1200 грн.
Стоматологи рекомендуют проводить процедуру 2 раза в год. Пациентам, у которых есть проблемы с деснами – каждые 3 месяца.
- Обновите зубную щетку.
- Не рекомендуется есть в течение первых 2 часов после проведения процедуры (красящую пищу – в течение 12 часов).
- Желательно не курить в течение 2-4 часов.
- Не полоскать рот в течение 2 часов.
Что входит в профессиональную чистку зубов в стоматологии "Денталюкс":
- ультразвуковой скалер;
- обработка пескоструйными аппаратами;
- полировка пастами.
Людям без вредных привычек и тем, кто не проходит ортодонтическое лечение, лучше всего проводить профессиональную чистку зубов раз в полгода. Это оптимальный промежуток времени, при котором эмаль не будет испорчена, а оттенок зубов не слишком потускнеет вновь. Если Вы обратились к врачу-стоматологу по поводу планового лечения, то необходимо сначала провести гигиеническую чистку, а затем приступать к лечению зубов.