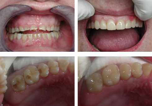
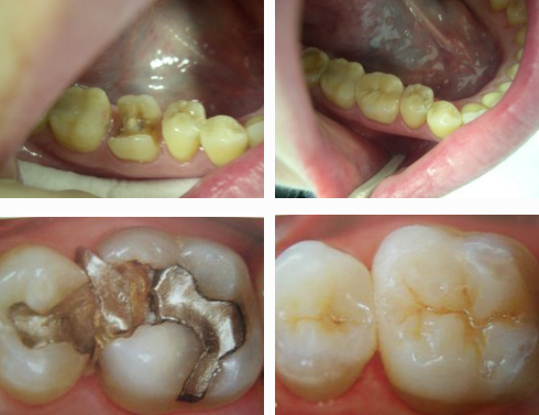
Стоматология в Николаеве проводит реставрацию зубов, а именно: полный комплекс работ, нацеленных на придание красивого вида зубам с видимыми дефектами или утратившими свой эстетический вид по ряду причин. Реставрация зубов показана в следующих случаях: потемнение эмали зубов, скалывание фрагментов зуба, неправильная форма или деформация зубов. Реставрация зубов своей задачей обязана исправить данные дефекты (включая врожденные) и вернуть зубам красивый вид, а также их функциональную способность, с помощью реставрационных материалов.

Сегодня большое внимание занимает эстетическая реставрация зубов, основная задача которой: воссоздание естественной формы зубов, их цвета и восстановление их функции. В том случае, если необходима художественная реставрация зубов, в качестве материала использует специальную группу современных пломбировочных реставрационных материалов, которые не отличаются от цвета ваших природных зубов. В таких случаях специалисты нашей клиники используют виниры. В недалеком прошлом виниры часто использовали звезды кино во время съемок, для создания ослепительной улыбки. Сегодня виниры может позволить себе каждый желающий, причем эффект закрепляется на длительный срок.


| Хирургия и имплантация зубов: | |
| Удаление зубов | 400-800 грн. |
| Удаление ретенированных и дистопированных зубов | от 1000 до 1500 грн. |
| Имплант (постановка имплантата без протезирования 1 ед.) | 400 $ |
| Протезирование на имплантах (метеллокерамика, безметалловая керамика) | от 200 до 300 $ |
До и после лечения, протезирования