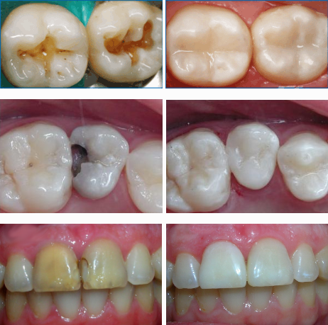
Лечение кариеса зубов в современной стоматологии уже давно не сводится просто к удалению поражённых тканей и заполнению дефекта пломбировочным материалом.
Современные пломбы даже называются собственно не «пломбы», а «реставрации», ибо они не только замещают утраченные части зуба, но и повторяют их по форме, цвету и микрорельефу (бугорки, ямки, фиссуры и другие детали поверхности).


Восстановленный таким образом зуб выглядит как совершенно здоровый и никогда не леченый. Стоит добавить, что современные пломбировочные материалы по своей прочности и устойчивости к нагрузкам вплотную приближаются к свойствам самой эмали зуба . А сила сцепления материала с зубными тканями сопоставима с прочностью самого зуба на разрыв.
До и после лечения, протезирования